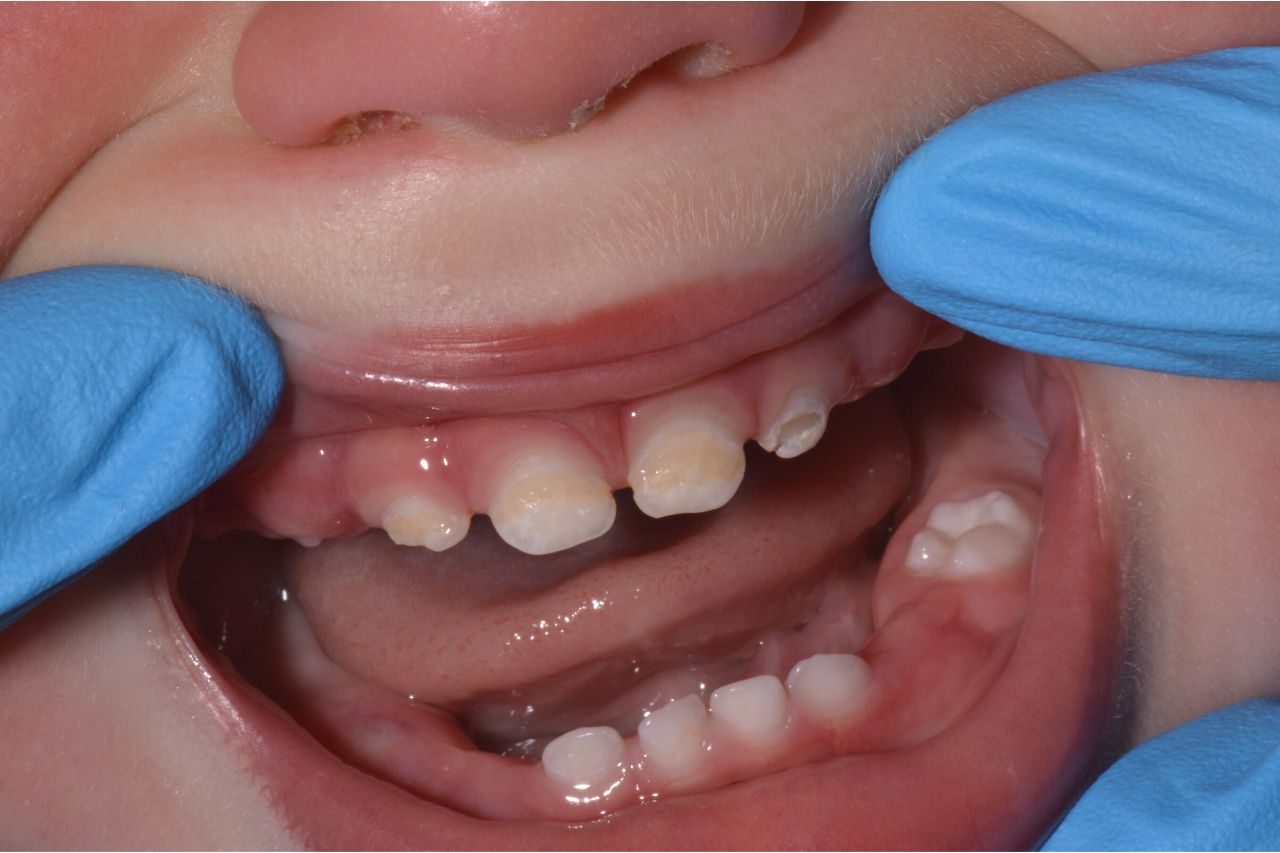
Bebé de 14 meses acude a primera visita porque sus padres le han visto manchas y una rotura en los dientes superiores. Se diagnostica caries de la primera infancia severa.
Para tratar la fractura por caries de la pieza superior, se realizó una reconstrucción mediante corona de acetato. De momento se realizarán controles periódicos del resto de las piezas afectadas y se valorará realizar también reconstrucciones en las mismas.
