La cirugía oral es la especialidad de la odontología que permite tratar anomalías bucales, maxilares y de tejidos blandos.
En Clínica Dental Urumea contamos con Javier Ochagavia, odontólogo especialista en Cirugía dental e Implantes, que junto con un equipo multidisciplinar da respuesta a todo tipo de patologías bucodentales.
Las cirugías más habituales son:
Cirugía periodontal y periimplantaria
Son aquellos actos dedicados a mejorar el pronóstico y facilitar la limpieza y mantenimiento de las piezas que se tratan. Cuando las circunstancias lo permiten existen técnicas y biomateriales para restaurar los tejidos perdidos. Estas maniobras sirven para tratar tanto dientes como implantes.
Cirugías de injertos
Existen cantidad de técnicas y biomateriales destinados a restauras los tejidos peridodos. Estos tejidos pueden ser tanto hueso como la encía que lo cubre. Se pueden reponer estos tejidos perdidos con injertos del propio paciente (autólogos) o con materiales sintéticos (biomateriales).
¿Qué son los biomateriales?
Los biomateriales son materiales inertes diseñados para ser implantados o incorporados dentro de un organismo vivo, con el objetivo de sustituir o regenerar tejidos vivientes y sus funciones:
- Bioinertes: Aceptados por el cuerpo, que pueden permanecer mucho tiempo en medios altamente corrosivos: Implantes de titanio, cerámicas como la alúmina o zirconio…
- Bioreabsorvibles o biodegradables: diseñados para reabsorberse gradualmente y ser reemplazado por el huésped. Aquí incluiríamos las membranas de colágeno, suturas, hueso…
- Inductores: Diseñados para promover y estimular la formación de hueso nuevo, ligamento periodontal y cemento. En este grupo se encuentran las proteínas derivadas de la matriz de esmalte.
En Clínica Dental Urumea disponemos de los mejores biomateriales del mercado. Esto permite ser más conservadores y realizar cirugías mínimamente invasivas para restaurar y regenerar hueso y encía.

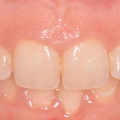
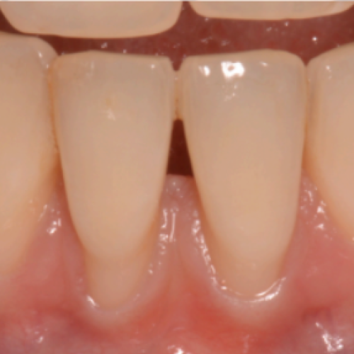
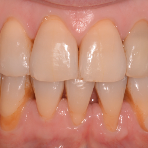
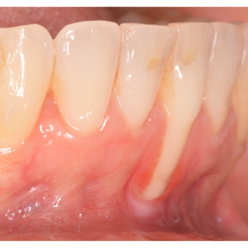
Casos clínicos de cirugía
Si buscas un tratamiento de cirugía dental en Donostia-San Sebastián, llamanos al 943272400 o escríbenos a través del formulario de nuestra página web.



