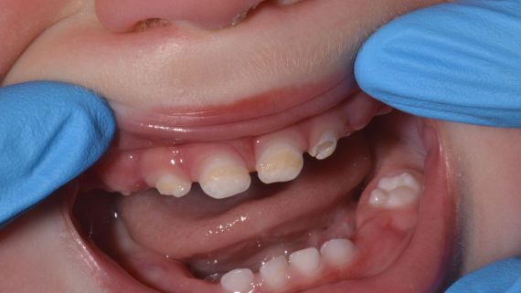
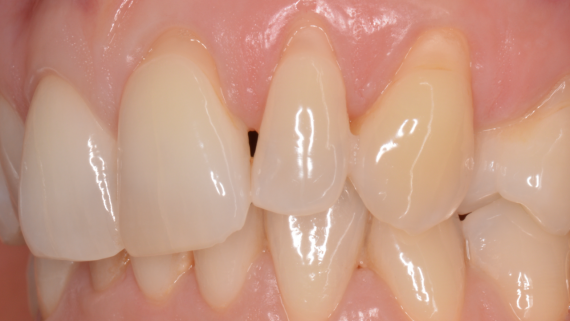
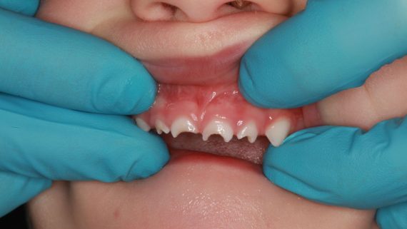
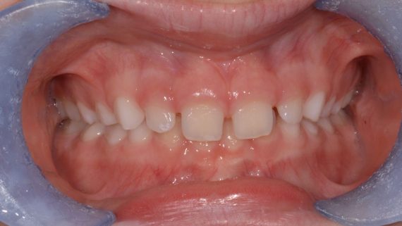
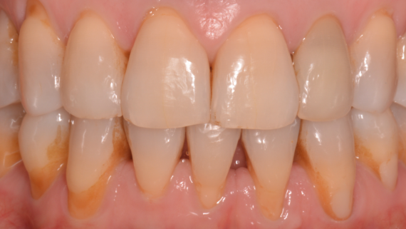
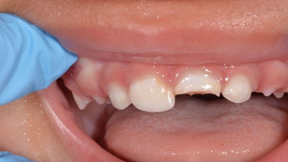
Casos clínicos

Copyright Clinica Dental Urumea ©2023