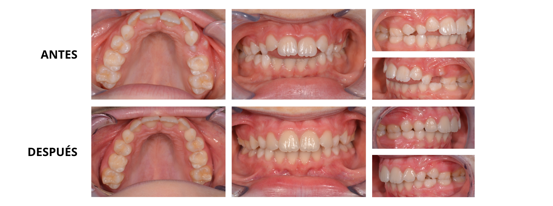
Paciente de 8 años en dentición mixta fase reposo que presenta paladar estrecho, respiración oral e interposición lingual.

Tras la intervención de vegetaciones, colocamos un disyuntor tipo McNamara durante 9 meses y creamos espacio en el paladar para la correcta colocación de la lengua. Además, la apertura de la sutura media maxilar abre las vías aéreas, favoreciendo una respiración fisiológica nasal.
Posteriormente, la paciente acude a logopedia para realizar terapia miofuncional. El objetivo es aprender a colocar la lengua en su posición ideal tanto en reposo como en deglución, así como a aprender a respirar por la nariz.
Este trabajo de logopedia ha sido fundamental para la correcta estabilización de los resultados obtenidos.
Para finalizar, se coloca un activador a modo de retención para optimizar estos objetivos y favorecer un pequeño avance mandibular.

Estos casos nos enseñan que, en odontología, como en cualquier ámbito de la salud, el trabajo en equipo marca la diferencia. En Clínica Dental Urumea creemos que el verdadero éxito clínico nace de la suma de miradas, experiencia y compromiso compartido.
En la página de odontopediatría puedes encontrar los tratamientos que realizamos y más casos clínicos.