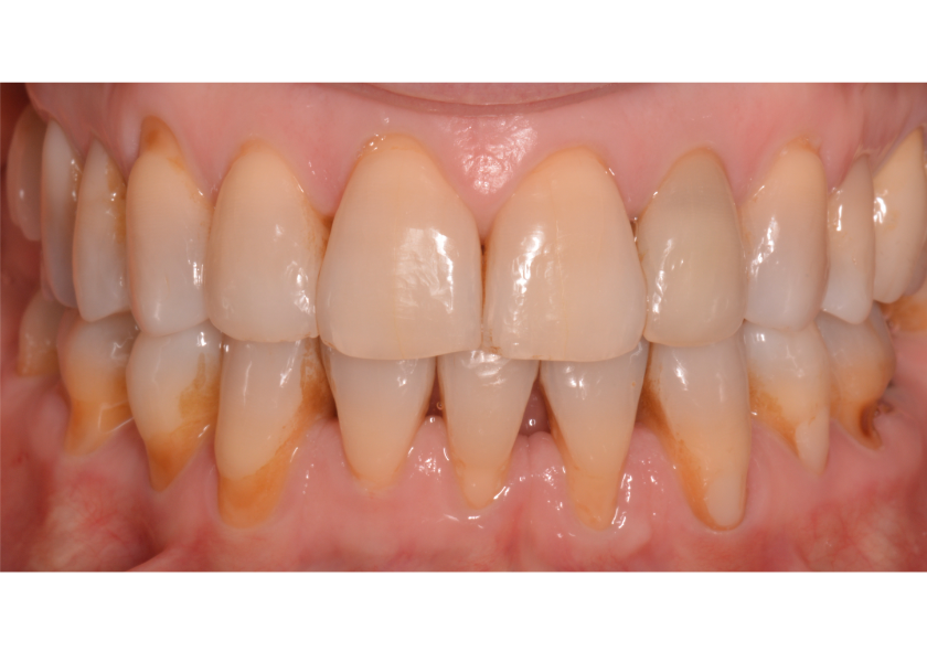
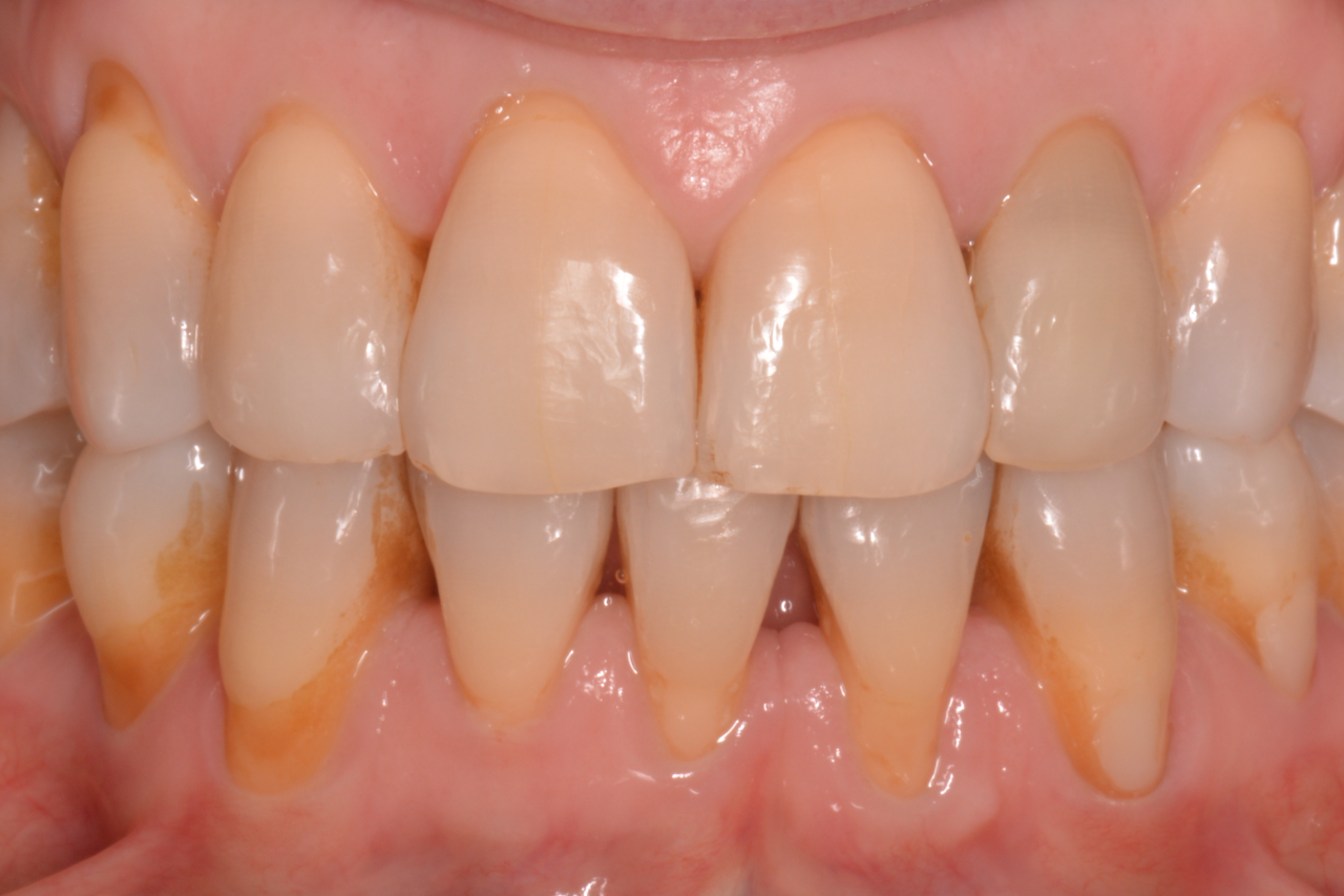
Tratamiento que combina Autologo y PUROS para solucionar una recesión de encía.
Mujer de 52 años, que tras un tratamiento de ortodoncia para corregir apiñamiento acude a tratarse de las recesiones de encía. Como la situación del maxilar superior es más favorable que la del maxilar inferior, optamos por tratar todo el maxilar superior con matriz dermica de origen humano (PUROS) e injertos de tejido conectivo en el maxilar inferior.
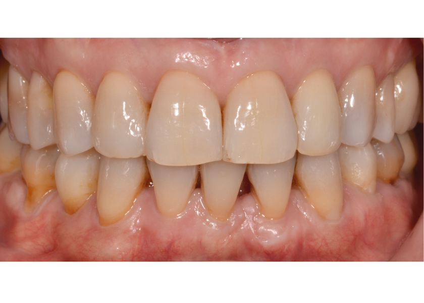
Una vez realizados los injertos, se le realiza un implante en el segundo molar inferior izquierdo y se realiza un blanqueamiento en el incisivo lateral izquierdo para mejorar la estética general de la boca.

