Paciente de 41 años que acude para hacerse un tratamiento de ortodoncia.
Equipo médico: Dra. Ainhoa Ochagavia y Dr. Javier Ochagavia
Tipología: Injerto de tejido conectivo para solucionar una recesión de encía y Ortodoncia invisible (invisalign)
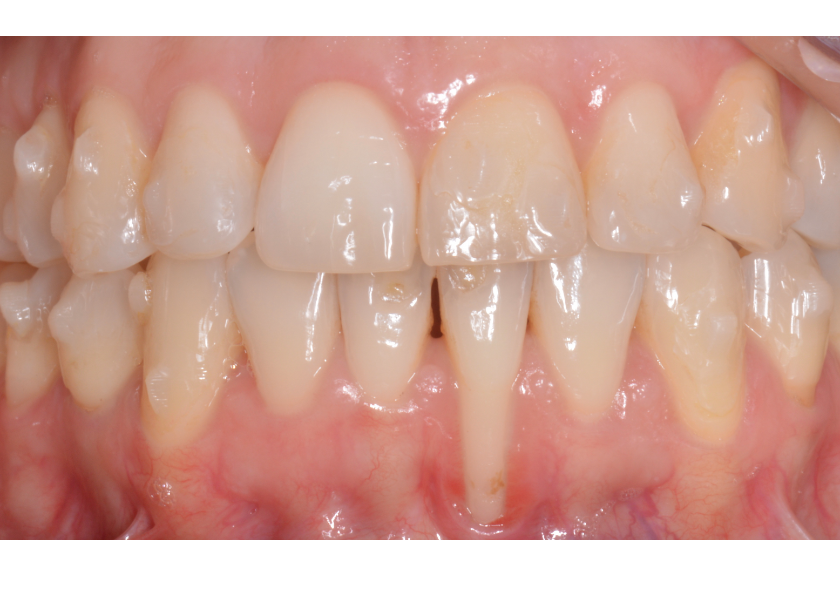
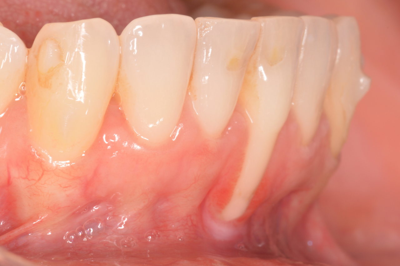
Paciente de 41 años que acude para hacerse un tratamiento de ortodoncia. Tras un incidente durante la ortodoncia una recesion existente en la pieza 31 se agrava.
La sensibilidad del paciente aumenta considerablemente y le molesta tanto el cepillado que impide su correcto mantenimiento.
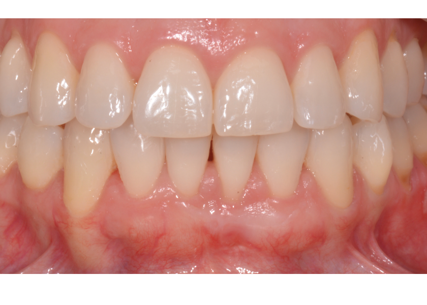
En este caso se decide realizar una cirugía (injerto de tejido conectivo) durante el tratamiento de ortodoncia y seguir moviendo la raíz hacia una posición más favorable dentro de la arcada. Esto se hizo con la intención de cubrir la exposición de la raíz que le estaba provocando sensibilidad y mejorar la encía resultante de los cuatro incisivos inferiores.

