Tratamiento para mejorar la estética dental.
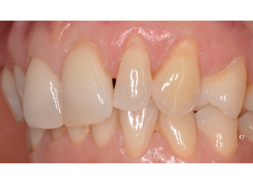
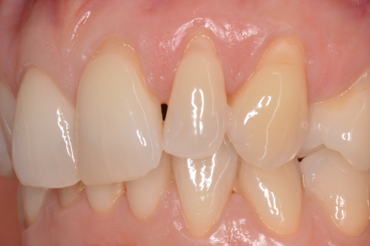
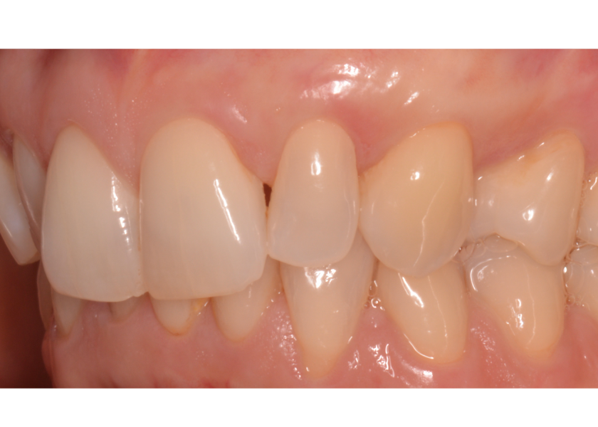
Paciente de 51 años que acude a Clínica Dental Urumea para hacer un cambio en la estética de su dentadura.
Quiere cubrir las raíces de las piezas 21,22 y 23. Esta exposición del diente además le produce sensibilidad.
Tras una exploracion minuciosa se le propone realizar una pequeña cirugia para cubrir dichas recesiones y aumentar el volumen de la encia con un injerto de tejido conectivo.



