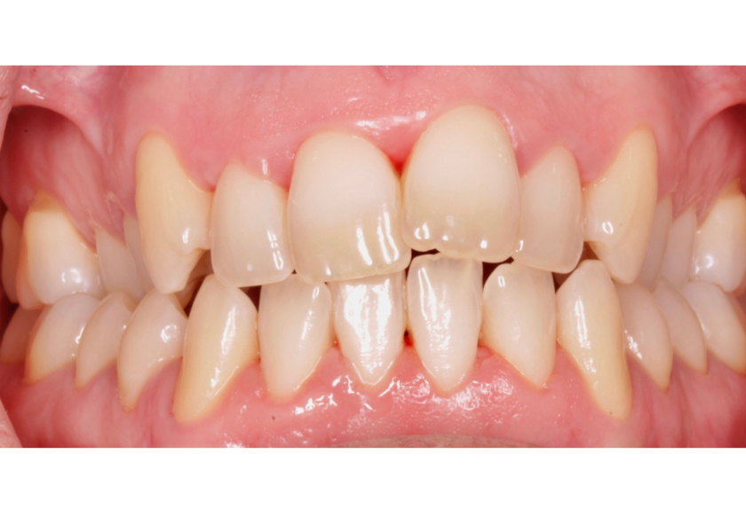
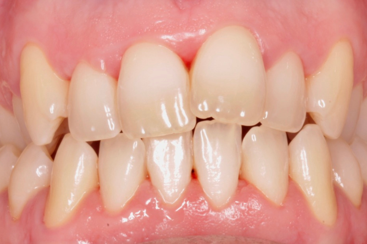
Paciente que acude a la clínica para mejorar la estética de la sonrisa.
Equipo médico: Dra. Ainhoa Ochagavia y Dra. Ainhoa Blanco
Tipología: Ortodoncia y Blanqueamiento
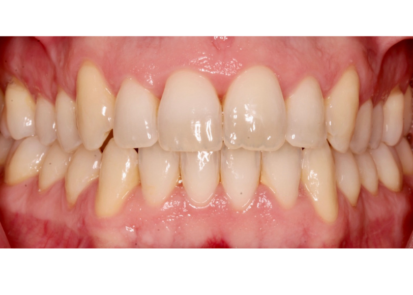
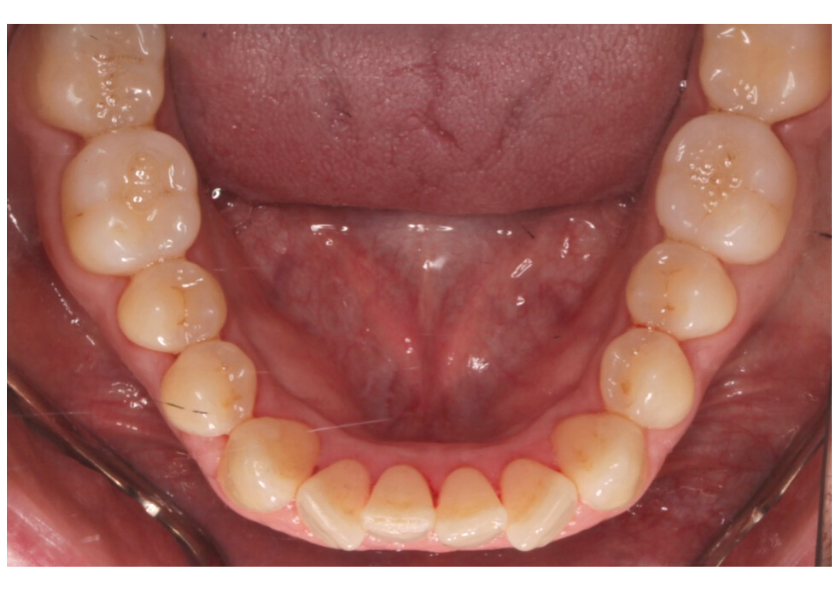
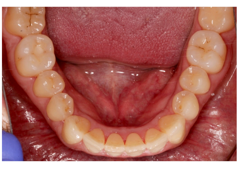
Este paciente acudió a Clínica Dental Urumea para mejorar la estética de su sonrisa. Primero se realizó un tratamiento de ortodoncia con alineadores transparentes Invisalign, para alinear y corregir la mordida cruzada.
Posteriormente, se realizaron blanqueamientos ambulatorios para mejorar
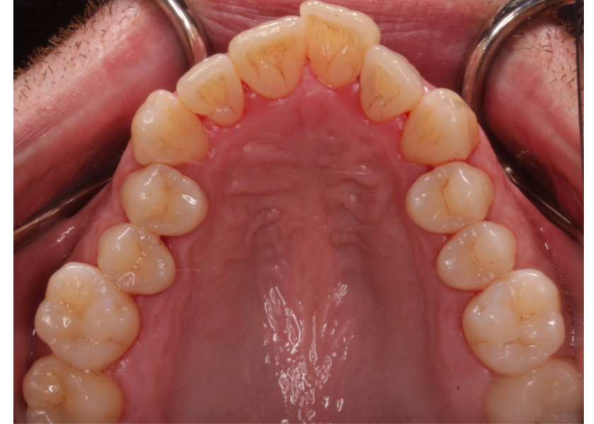
En este caso se ha optado por alineadores Vivera como método de retención.





