Casos clínicos

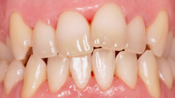
Este paciente acudió a Clínica Dental Urumea para mejorar la estética de su sonrisa. Primero se realizó un tratamiento de ortodoncia con alineadores transparentes Invisalign, para alinear y corregir la mordida cruzada.

Copyright Clinica Dental Urumea ©2023