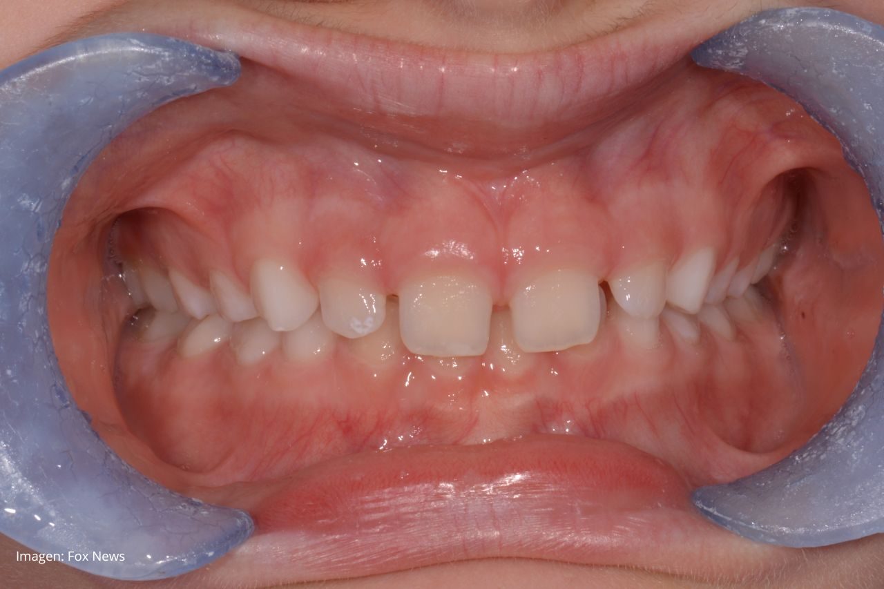
Niña de 7 años acude a revisión y se detecta sobremordida aumentada.
Como los incisivos superiores ya han erupcionado, se opta por colocar un activador para corregir la sobremordida aumentada.

¿Que es un activador dental? Es un sistema de aparatos de silicona diseñados específicamente para corregir las funciones; posición de la lengua, la respiración (de oral a nasal) y a través de eso, corregir malas mordidas o maloclusiones. En algunos casos con sobremordida y sin disfunciones, se opta por la misma técnica que permite corregir la sobremordida sin necesidad de usar aparatología fija.
La paciente con el activador.
