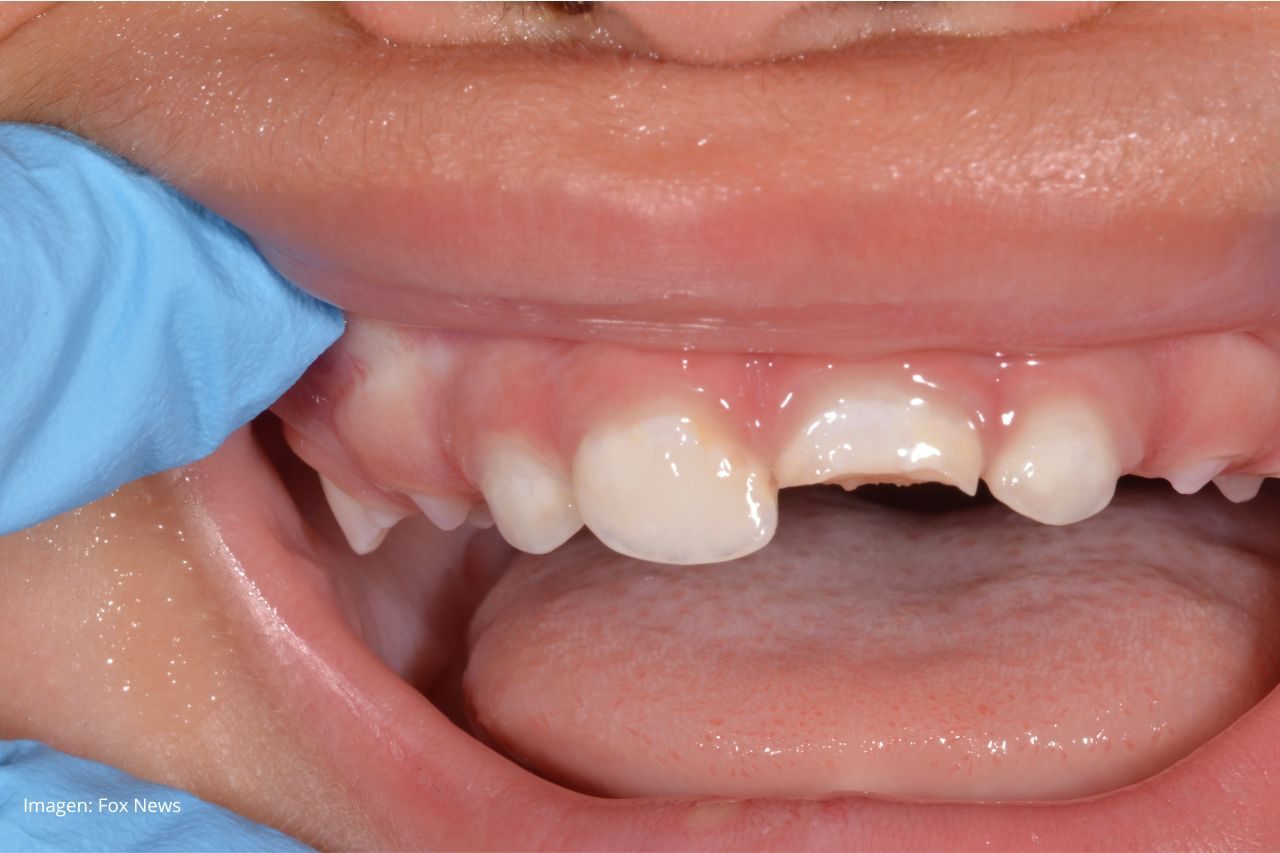
Bebé de año y medio que acude a consulta por traumatismo dental.
En el caso de esta bebé, se optó por la realización de una corona de acetato para proteger y conservar el diente de leche que ha sufrido el traumatismo.
¿Qué es una corona de acetato? Una corona de acetato es una técnica de restauración dental muy usada en odontopediatra. Se opta por esta técnica por los resultados estéticos visibles que ofrece y por sus pocos pasos clínicos, manteniendo así la integridad de las piezas y conservarlas en su espacio.
