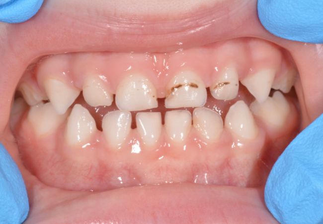
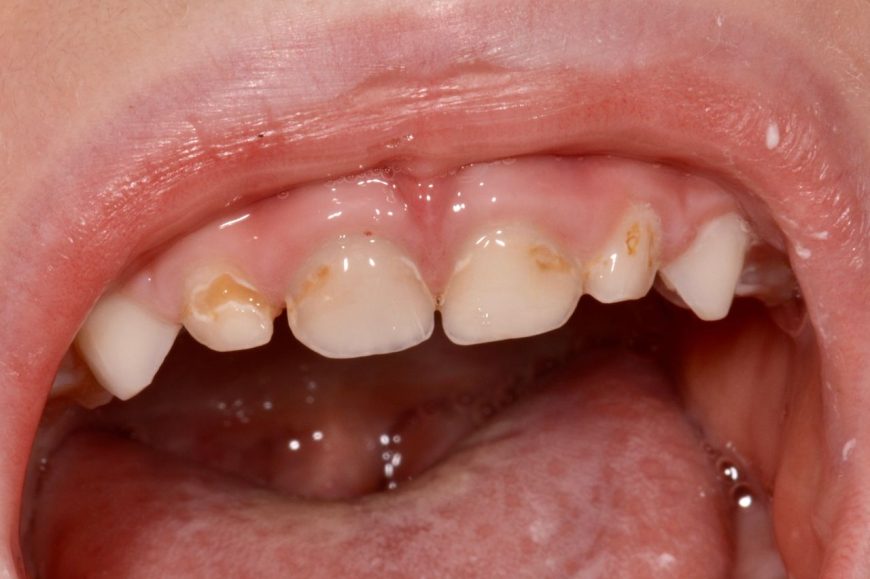
El otro día en consulta una madre trajo a su hija Nora de 3 años para revisar varias manchitas marrones en los dientes. Esas manchas eran caries de distinta gravedad.
La madre, asustada, me preguntó cómo podía ser que tuviera tantas caries si casi no comía chuches. Yo le respondí que NO SÓLO LAS CHUCHES PROVOCAN CARIES.
De hecho, en consulta, no le solemos dar tanta importancia al hecho de que coman chuches algún día en concreto. Todas sabemos que no son saludables y que su consumo, por lo general, suele ser ocasional.

Los azúcares añadidos no se ven a simple vista, pero dañan igual o más el esmalte dental.
Hoy en día los niños toman muchísimo más azúcar de lo que deberían en su alimentación diaria.
Nos pusimos a analizar y nos dimos cuenta de que Nora para desayunar tomaba cereales con azúcar, a media mañana tomaba un sándwich y un zumo de frutas y a media tarde merendaba un yogur bebible y unas galletas. Todos estos alimentos contienen azúcares añadidos o azúcares libres, edulcorantes que no se ven a simple vista pero que dañan igual o más el esmalte dental.
El total de azúcar diario que consumía Nora estaba alrededor de los 73,8 gramos, cuando la OMS recomienda que antes de los 2 años evitemos totalmente los azúcares libres y que a partir de 2 años no se supere la cantidad de 16 gramos al día.
¿Cuáles fueron mis recomendaciones hacia la madre de Nora para manejar la enfermedad de la caries y evitar la aparición de nuevas lesiones?
En primer lugar, cambiar algunos hábitos de alimentación:
- Aprender a leer etiquetas e intentar evitar o reducir los azúcares del día a día (galletas, yogures azucarados, zumos, cereales de “desayuno”).
- Cambiar los zumos o refrescos por agua. El agua debe ser la bebida principal.
- Evitar el picoteo frecuente: Si picoteamos entre horas repetidamente, no damos tiempo a que el pH de nuestra boca se neutralice y estamos colaborando a que el pH de la saliva sea todo el tiempo ácido.
El picoteo de alimentos entre horas aumenta el riesgo de caries.
En segundo lugar, cambiamos las pautas de higiene bucodental:
- Cepillado mínimo 2 veces al día con pasta fluorada (mínimo 1000-1450ppm)
- Escupir sin enjuagar la pasta. El flúor de la pasta es nuestra vitamina para endurecer el diente.
- Empezar a pasar el hilo dental, cada día, entre dientes que estén en contacto
Además, haremos revisiones frecuentes a Nora para poder hacer un diagnóstico precoz y ofrecer el tratamiento más sencillo posible si aparecen nuevas caries. Sin embargo, estamos seguros de que si seguimos las recomendaciones al pie de la letra, podremos mantener la boca de Nora sana durante toda su infancia. Saludos familia!
La prevención es la clave para prevenir la caries en la infancia.
Esto te puede interesar…

Si buscas asesoramiento odontopediátrico en Donostia-San Sebastián, llamanos al 943272400 o escríbenos a través del formulario de nuestra página web.
 
									 
									
