Kasu klinikoak

EPA – Tratando la sonrisa gingival

Tratamiento de  sonrisa gingival (Erupción Pasiva Alterada)

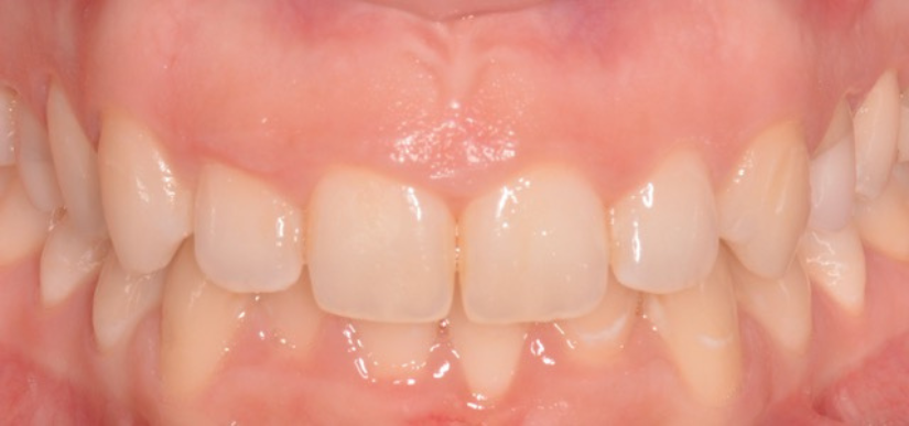
Paciente de 40 años que presentaba signos de erupción pasiva alterada, como son el exceso de encía que recubre el diente y la apariencia de dientes pequeños.

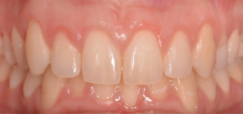
Tras un análisis del caso se optó por la realización de una cirugía de alargamiento coronario.

¿En qué consiste el alargamiento coronario?

El alargamiento coronario es una pequeña intervención quirúrgica, en el que se elimina el exceso de encía que cubre parte del diente. Es una intervención sencilla, que no suele generar una gran inflamación en la boca del paciente.

La intervención de alargamiento coronario es una tendencia al alza en el sector de la estética dental por los resultados y por permitir una sonrisa equilibrada y bonita.

Before imageAfter image

Copyright Clinica Dental Urumea ©2023