Injerto para solucionar una excesiva exposición de la raíz
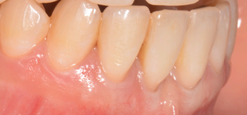
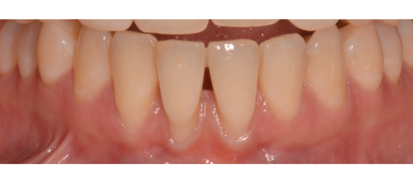
Paciente de 40 años que acude a la clínica para solucionar una excesiva exposición de la raíz.
Equipo médico: Dr. Javier Ochagavia
Tipología: Periodoncia
Esta paciente de 40 años acude a la clínica para solucionar una importante exposición de la raíz de algunos de sus dientes provocados por una mordida abierta por interposición lingual y deglución atípica. Esta patología le está provocando una importante exposición de la raíz de los incisivos anteroinferiores.
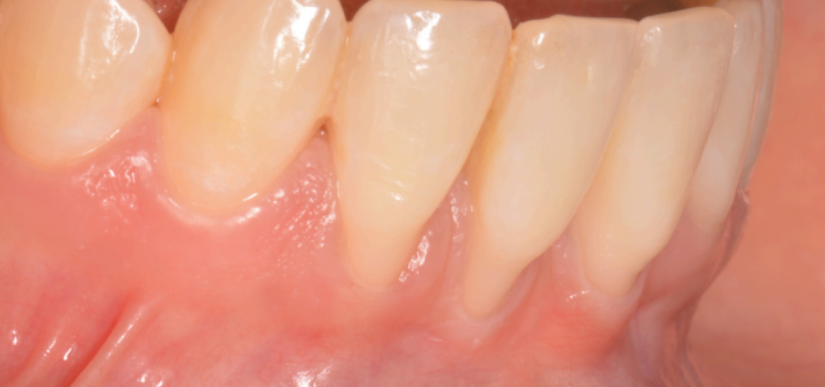
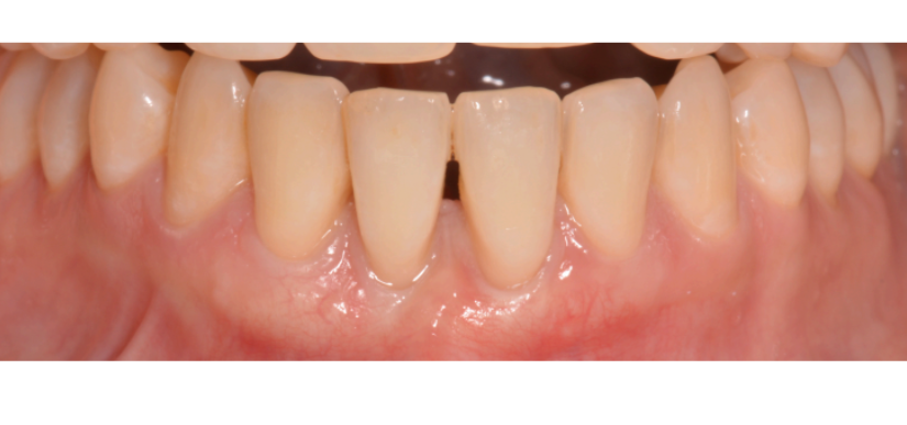
A pesar de que las limitaciones anatómicas no nos permiten una cobertura completa de las raíces, realizamos un injerto de tejido conectivo para cubrir al máximo las raíces y engrosar la encía que rodea los incisivos.



