Equipo médico: Dra. Ainhoa Ochagavia y Dra. Ainhoa Blanco
Tipología: Ortodoncia y Blanqueamiento
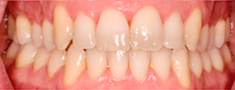
Este paciente acudió a Clínica Dental Urumea para mejorar la estética de su sonrisa. Primero se realizó un tratamiento de ortodoncia con alineadores transparentes Invisalign, para alinear y corregir la mordida cruzada.
Posteriormente, se realizaron blanqueamientos ambulatorios para mejorar
En este caso se ha optado por alineadores Vivera como método de retención.
| Antes | Después |
|---|---|
![]() |
![]() |
| Antes | Después |
|---|---|
![]() |
![]() |



