Nuestra sonrisa nos define. La sonrisa es una expresión facial universal para comunicar alegría, felicidad, confianza, entre otras emociones.
Cuando sonreímos, estamos mostrando nuestros dientes y nuestra boca, por ello una sonrisa agradable y saludable puede hacer que nos veamos más atractivos y confiados, mientras que una sonrisa poco saludable o en la que la encía sea prominente puede tener el efecto contrario.
Erupción Pasiva Alterada
La Erupción Pasiva Alterada o sonrisa gingival, es aquella en la que una porción grande de la encía de una persona es visible cuando sonríe.
En una sonrisa gingival, los dientes parecen más cortos de lo que realmente son y la línea de la encía puede parecer desigual o irregular. Aunque una sonrisa gingival puede no ser una amenaza para la salud física, si es una preocupación estética para algunas personas que quieren tener una sonrisa más equilibrada.

En algunos casos, la sonrisa gingival puede ser el resultado de la erupción excesiva de los dientes, una hiperactividad muscular, una mala posición de los dientes o una erupción anormal de las encías. Uno de los tratamientos más habituales que llevamos a cabo en Clínica para corregir la sonrisa gingival es el alargamiento coronario.
¿En qué consiste el alargamiento coronario?
El alargamiento coronario es un procedimiento quirúrgico que se realiza para aumentar la longitud de la corona dental (la parte visible del diente). Esto se hace mediante la eliminación de una pequeña cantidad de tejido gingival (encía) y hueso alrededor del diente para exponer más de la estructura dental subyacente. El éxito de la intervención radica en localizar correctamente la posición de la línea amelo cementaría y de la cresta ósea.

Tratando la sonrisa gingival
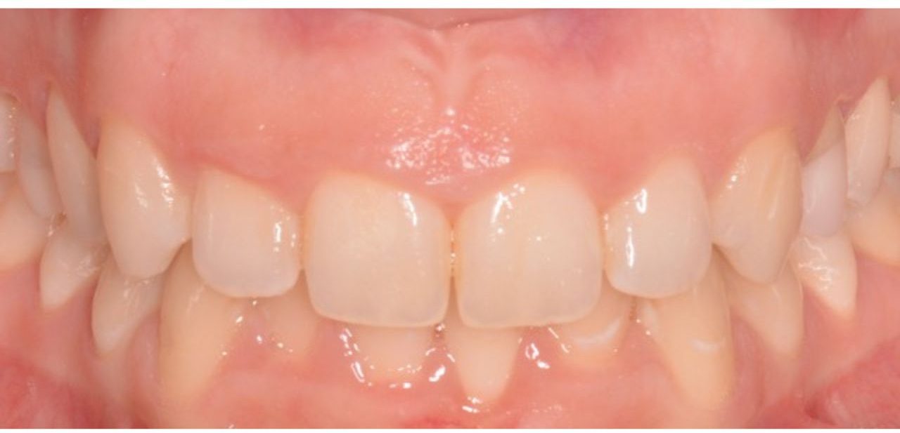
En este caso, tenemos una paciente de 40 años que acudió a Clínica Dental Urumea para mejorar la estética de su sonrisa. La paciente, presentaba signos de erupción pasiva alterada, con exceso de encía que recubre el diente y la apariencia de dientes pequeños.
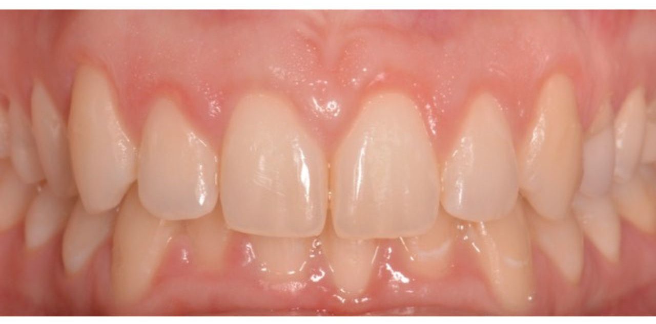
Tras el análisis del caso se optó por la realización de una cirugía de alargamiento coronario, eliminando así el exceso de encía que cubría el diente. Esta intervención se realiza en una sola visita al dentista y sin tocar los dientes.
Antes

Después

Si sientes que escondes tu sonrisa porque muestras demasiado encía, o tus dientes parecen pequeños y descompensados con tu estructura facial, te recomiendo que te pongas en manos de expertos para que te ayuden a buscar el tratamiento dental adecuado para ti.
Si quieres consultar sobre el tratamiento de la sonrisa gingival en Donostia-San Sebastián, llamanos al 943272400 o escríbenos por whatsapp.