Si sientes que tu encía está retraída es necesario que acudas a un especialista en periodoncia para que valore cuál es el tratamiento más adecuado para ti. El tratamiento de la recesión dependerá de las causas de esta.
El objetivo del tratamiento es intentar devolver la encía a su lugar original e intentar controlar al máximo los factores involucrados en la aparición y desarrollo de dicha recesión.
Hábitos de higiene bucal
El primer paso es controlar la inflamación de la encía que rodea la lesión. Eso se consigue con unos buenos hábitos de higiene que incluyen un cepillado suave, no traumático y una limpieza bucal profunda por parte de un profesional.
Dientes mal posicionados o mala praxis en ortodoncia
Si sufres apiñamiento o una oclusión desfavorable, tu odontólogo te propondrá corregir y mover los dientes involucrados a una posición más favorable dentro del arco dentario. Esta maniobra puede mejorar las condiciones de la recesión e incluso, en algunos casos, resolverla.
Si has sufrido un mal tratamiento de ortodoncia, los dientes pueden haber salido del hueso provocando una recesión gingival. En ese caso, será necesario corregir los dientes a una posición más favorable, y si la recesión no se soluciona, realizar un injerto en los dientes afectados.


Prótesis mal ajustadas
Es posible que una prótesis mal ajustada genere inflamación crónica y recesión en la encía. Para solucionarlo es necesario retirar la prótesis, realizar una higiene profunda y sustituir la prótesis por una nueva.
Una vez controlados estos factores (higiene, ortodoncia, prótesis,…) existen distintas técnicas quirúrgicas destinadas a cubrir las raíces expuestas. La elección de la técnica depende de varios factores como la cantidad de encía previa, la presencia/ausencia de frenillos, si es una zona estéticamente relevante, si es única o múltiple…
Tratamiento de la recesión de encía mediante un injerto
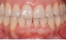
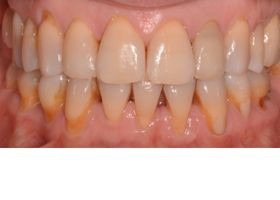
El injerto de encía consiste en colocar tejido para cubrir una raíz dental que ha quedado expuesta o también para revestir un implante dental descubierto. Mediante esta cirugía conseguimos devolver la encía a su lugar original, recuperar total o parcialmente la encía perdida y engrosar la encía para que sea más estable en el tiempo. Además, mejora la estética dental del paciente y reduce la sensibilidad dental al cubrir la raíz expuesta.
Existen distintos tipos de injertos:
- Injerto autólogo (del propio paciente): En este caso se extrae una parte de piel del mismo paciente (del paladar o zona retromolar) y se traslada a la zona receptora, en este caso la encía del diente con recesión. Es la técnica más habitual y, aunque complejo, es el injerto con el que se obtienen mejores resultados.
- Injerto con biomateriales: En las situaciones en las que el paciente no quiere que se le toque el paladar, tiene ciertas limitaciones médicas o tenemos que tratar muchas recesiones a la vez, se usan injertos de biomateriales. No se consiguen los mismos resultados en casos muy complejos, pero tenemos disposición ilimitada para poder tratar muchas piezas a la vez. Entre los injertos con biomateriales encontramos de dos tipos: Xenoinjerto (de origen animal) o Aloinjerto (de origen humano). Estas dos opciones permiten una recuperación más rápida del paciente porque el post operatorio es menos doloroso.


Es tu odontólogo experto en cirugía el que, después de un examen exhaustivo, te recomendará cuál es el tratamiento más adecuado para ti.