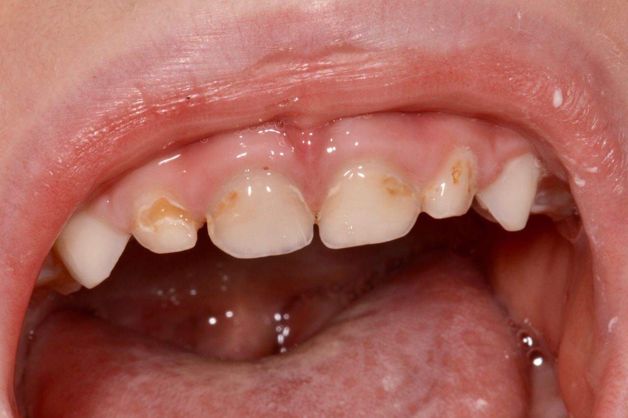
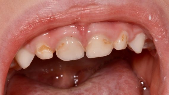
Lehengo astean Nora izeneko 3 urteko neska txiki bat etorri zen kontsultara lehen rebisio bat jasotzera.
Elikadurak gure osasunean eragin handia du eta besteak beste, gure aho-hortzean duen eragin hori oso garrantzitsua da. Hortz galeraren bi kausa nagusiak txantxarra eta gaixotasun periodontalak (piorrea) dira. Azukrea hortz-txantxarraren garapeneko arduradun nagusienetako bat izan ohi da, bakteriekin harremanetan sartzen denean hortzak hondatzen dituzten azidoak sortzen bait dituzte.
Elikagai askok azukrea daukate era natural baten. Aitzitik, elikagai-kantitate handia dago azukre-mota askorekin, proportzio altuetan. Arreta jarri beharko genioke azukre hauen proportzioei, freskagarri edo gozokielako produktuetan adibidez eta proportziorik baxuena daukaten haiek aukeratu. Kontzienteak izan behar gara etxeko txikiek zein nagusiek kontsumitzen ditugun produktuez, honek aho-hortzaren osasunean erabateko influentzia zuzena bait du.
Listua ere oso osagai baliotsua izan daiteke aho-hortzaren osasunerako. Hau laguntzaile eraginkorra da bai hondar-ezabapenean zein azidoen efektu negatiboen murrizketan. Jaten dugun bitartean da listu askatze handiagoa produzitzen dugunean, bitarteko mokaduak jaten ditugunean ez bezala, kantitatea gutxitu egiten bait da. Egunero ur-kantitate egokia edatea praktika ontzat hartu dezakegu, listu gehiago sortzea baimentzen duenez gero.
Gaixotasun periodontala hortz-galerako beste arduradun garrantzitsu bat da eta ahoaren hortz guztiei eragiten die agertzen denean. Arazo bat izaten hasi da gaixotasun periodontala, gizartean gero eta komunagoa bait da. Gaixotasun periodontalek oien handitzea sortu dezakete, edo kasu larriago batzuetan, hortzak sostengatzen dituzten hezurrak kaltetu, hortzak eroriz.

Orekadun dietak eta ohitura elikagarri egokiek gure hortzak babesten laguntzen dute. Oso elaboratutako elikagaien kontsumoak gure oientzako hain onuragarria den murtxikatze jarduera gutxitzen du. Gainera, gehiegi elaboratutako produktu hauek konposatu organikoak desegiten dituzte (mineralak, bitaminak), hezur-funtzioan eta hortzetan hain garrantzitsuak izanik. Koipe aseei dagokienez, oien handitzea eragin ohi dute. Fruitu eta barazkiek ohikoak izan behar dituzte gure dietan. Elikagai gordin edo gutxi prestatuak mastekatzeak gure oiak indartzeko eta era batera masaje bat emateko balio du. Jaten ditugun elikagaien ezaugarriak kontuan hartzea, aintzat hartzeko faktorea da beraz.
Jakina, hortz-garbiketak garrantzi handia hartzen du txantxarraren arriskua txikiagotzeko; garbiketa-ohitura on batzuk, profesional baten kontrolekin batera aho-hortzen osasun apropos bat mantentzen lagunduko digute.