Ehun gingibala edo hortzoiak atzera egin duela sentitzen baduzu, ziurrenik atzeraldi gingibal bat jasaten ari zara.
Hortzoietako atzeraldia trata daiteke, baina balorazio profesional bat beharrezkoa da irtenbide onena ikusteko.
Hortzoia, hortzaren euskarria
Aho-hortz osasunari buruz hitz egiten dugunean, egitura (erroa eta koroa) eta hortzoiak egoera onean mantentzeaz hitz egiten dugu. Hezurra zati gogorra da eta lotailu baten bidez hortzari eusten dio (lotailu periodontala). Hortzoia zati biguna da. Hezurra estaltzen du eta hortza zigilatzeko banda gisa balio du.
Hortzoia egoera onean ez badago, aho-osasun txarraren sintoma izan daiteke.
Hortzoian atzera egitea
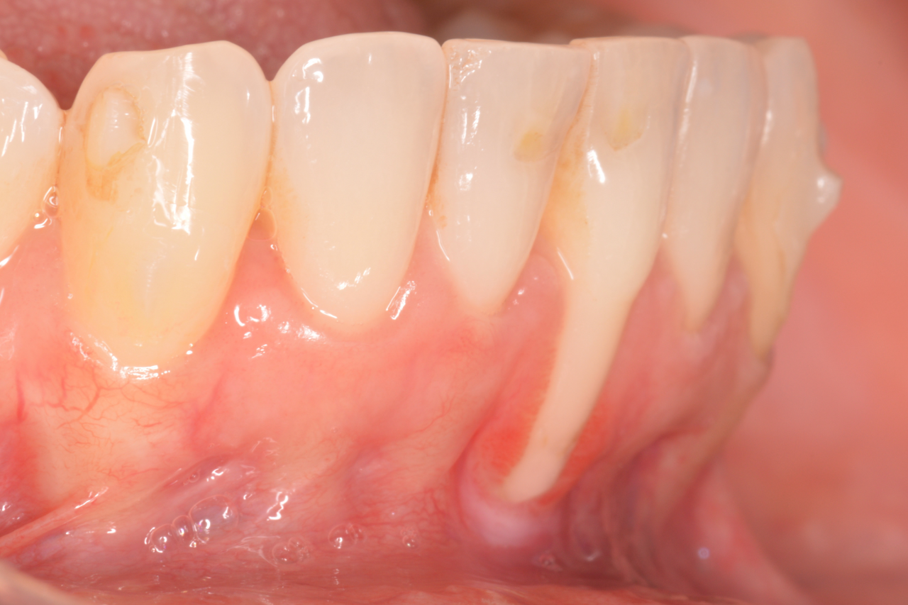
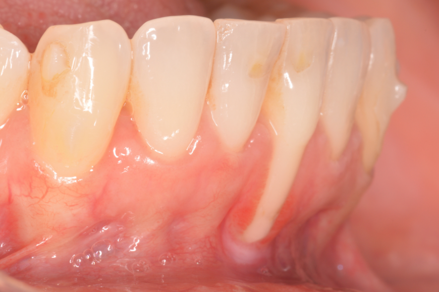
Hortzoien atzeraldia, hortzoietako ertzak bere posizio arruntetik (erroaren eta hortzaren arteko muga) desplazamendu bat jasaten duen prozesua da, sustraiaren zati bat bistan utziz.
Erroak estalita egon behar du, beraz, bistan dagoenean, arazo hauek sor ditzake:
- Hortzen sentikortasuna
- Erro higadura
- Erroko txantxar gehiago
- Hortzak gehiago mugitzea
- Mina eta inflamazioa garbitzean
- Arazo estetikoak
Zergatik atzera egiten du hortzoiak?
Hortzoia aldi berean faktore batek edo hainbatek erretira dezake.
Aurrez aldetiko faktoreak
Pertsona bakoitzarengan aurrez aldetiko faktore batzuk daude. Horrek hortzoietan atzeraldiak garatzeko aukera gehiago ematen dizkizu. Ohikoenak hauek dira;
- Hortzoi mehea: Hortzoi mehea errazago kaltetu daitekeen hortzoia da, horregatik erretrakzio gingibalerako joera du.
- Frenulu txertatze handia: frenuloak txertatze altua badu, atzeraldi gingibala sortu dezake.
- Sustraiaren gehiegizko prominentzia.
- Ortodontzia-arazoengatik hortzoietan kalteak: Gaizki kontrolatutako ortodontzia-tratamenduak atzeraldi gingibala sortu dezake, hezurraren mugak ez errespetatzeagatik.


Faktore eragileak
Atzeraldi hauek denboran zehar garatzea eta areagotzea eragiten duten faktore eragile batzuk ere badaude. Ohikoenak hauek dira:
- Gaixotasun periodontalak (gingibitisa edo periodontitisa): Hortz-plakaren ondorioz hortzoietako inflamazioak hezurraren suntsipena eragin dezake. Garaiz tratatzen ez bada, hortzoietako erretrakzioa ere eragin dezake.
- Eskuilatze traumatikoa: eskuilatze-teknika eskasa edo eskuilatzean indar gehiegi jartzea erretrakzio gingibalaren kausa ohikoenetako bat da.
- Oklusio desegokia: hortzak besteekiko gaizki kokatuta badaude (pilaketa edo posizio txarra), hortz-erretrakzioarekiko sentikorragoak izango dira.
- Gaizki egokitutako protesia: Gaizki egokitutako protesi batek igurtziaren ondorioz hortzoietako higadura eragin dezake eta, ondorioz, horren atzerakada.


Posible al da atzera egiten ari diren hortzoiak errekuperatzea?
Hortzoia atzera egiten hasten denean, ezinezkoa da errekuperatzea. Horregatik dentista batengana joatea beharrezkoa da. Azterketa sakon baten bidez, espezialistak kirurgia egokiena proposatuko du. Kasuaren arabera, tratamendu bat edo beste aukeratzen da.
Blogeko sarrera honetan Hortzoien atzeraldirako tratamendu irtenbideei buruz hitz egiten dizu.
