
En Clínica Dental Urumea nos preocupamos por la salud de toda la familia, empezando por los más pequeños, ya que los buenos hábitos se adquieren a una edad temprana. Uno de nuestros objetivos es mejorar la salud bucodental infantil y crear hábitos de vida y alimentación que ayuden a prevenir y concienciar sobre la importancia de una boca sana.
En Clínica Dental Urumea contamos en nuestro equipo de odontopediatría con la especialista Maitane Naya, con dedicación exclusiva a esta especialidad y formada con un máster específico para realizar tratamientos dentales en pacientes infantiles.
Aproximadamente uno de cada tres niños entre 5 y 6 años tienen o han tenido caries en dientes temporales. Esto muestra la importancia de comenzar las medidas de prevención, dietéticas e higiénica desde una edad temprana. Para ello ofrecemos medidas preventivas como la revisión bucal y el asesoramiento en higiene y cuidados para niños.

DENTISTA INFANTIL U ODONTOPEDIATRÍA
EN DONOSTIA – SAN SEBASTIÁN

Nuestra odontopediatra, Maitane Naya, enseña a los niños a conocer su boca y a cuidarla; así toman conciencia de lo importante que es tener una buena higiene oral y de cómo llevarla a cabo.
Desde pequeños se acostumbran a visitar a su dentista infantil periódicamente y en el futuro lo harán con naturalidad, sin traumas. En las revisiones se pueden detectar lesiones cariosas así como alteraciones en el desarrollo de los maxilares o malposiciones dentales siendo así capaces de poner remedio de forma precoz. También realizamos prácticas encaminadas a “fortalecer” los dientes del niño contra la caries, por ejemplo Fluorizaciones , cuando fuera necesario.
Pide una primera visita para tu peque en Donostia-San Sebastián, llamando al 943272400 o escribiendo a través del formulario de nuestra página web.
Conoce nuestros tratamientos
- Odontobebé: Odontología para bebés de 0 a 3 años.
- Caries infantiles
- Ortodoncia y ortopedia infantil
- Rehabilitación Neurooclusal
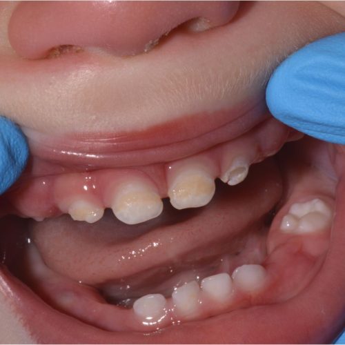
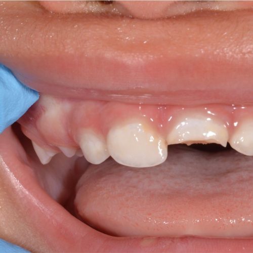
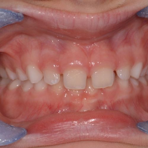
Casos clínicos de odontopediatria
PREGUNTAS FRECUENTES
Durante el embarazo es importante acudir a las citas de revisión y mantenimiento con tu odontólogo para poder prevenir cualquier patología que pueda surgir a lo largo de la gestación (posibles caries, inflamación de encías,…)
Además, el odontólogo o la odontopediatra podrán informarte sobre las Pautas de higiene oral durante el embarazo y las pautas higiénico-dietéticas para el recién nacido y bebé hasta 1 año.
Consulta nuestra Guía de Salud Bucodental para mamás embarazadas >>
Bebé de 0 a 6 meses
Exploración de la cavidad oral para detectar y prevenir:
- Frenillos, anquiloglosia y problemas con la lactancia materna.
- Enseñanza de la higiene oral en bebés hasta 6 meses.
- Síntomas de erupción y cómo manejarlo.
Bebé de 6 a 12 meses
- Establecer una buena relación con el dentista.
- Educación en higiene y dieta para una buena salud bucodental.
- Pautas para retirada de tetina y biberón.
- Tratamiento de posibles problemas: quistes de erupción, caries,…
Niño/a de 1 a 5 años
Dentición temporal completa
- Pautas higienicodietéticas para una buena salud bucodental.
- Diagnóstico de hábitos funcionales: succión digital, uso excesivo de chupete o biberón,…
- Detección temprana de posibles anomalias (maloclusiones)
- Tratamiento y prevención de la caries dental.
- Mantenimientos y fluorizaciones.
- Traumatismos en dentición temporal.
Niño/a de 6 a 8 años
Dentición temporal completa
- Diagnóstico de posibles anomalías dentales en la dentición permanente: maloclusiones (ortodoncia)
- Prevención de traumatismos dentales en dentición permanente
- Prevención caries dental, fluorizaciones
- Mantenimientos trimestrales o semestrales (dependiendo de la salud bucodental del niño)
Niño/a de 8 o mayores
Dentición mixta y permanente
- Pautas de higiene bucodental y dieta.
- Prevención y tratamiento de caries dental, fluorizaciones.
- Mantenimientos trimestrales o semestrales.
- Ortodoncia infantil.
Es necesario limpiar los dientes a tu peque desde la salida del primer diente, dos veces al día con pasta con flúor minimo 1000ppmm (cantidad:raspada).
Puedes aprender más sobre este tema en este post del blog: Azúcar, el enemigo oculto
La respiración juega un papel crucial en el desarrollo infantil, no solo para asegurar una correcta oxigenación, sino también para influir en el crecimiento físico, el desarrollo bucodental y la salud general del niño/a.
En los niños/as, la mala ventilación se manifiesta de formas que pueden pasar desapercibidas, pero que tienen un impacto importante en su desarrollo físico y cognitivo. Estas son algunas de las señales de alerta:
- Respiración ruidosa o ronquidos durante el sueño.
- Despertar frecuente o fatiga excesiva durante el día.
- Respiración constante por la boca, incluso en reposo.
- Boca seca o mal aliento.
- Dificultades para concentrarse o bajo rendimiento escolar.
- Ojeras.
Un diagnóstico integral que incluya la evaluación de un especialista en otorrinolaringología, odontopediatría, y, en algunos casos, un fisioterapeuta respiratorio, puede ayudar a corregir estas alteraciones y mejorar la calidad de vida del niño.











